
X-ray
Imaging tests play a key role in modern dentistry. They allow the dentist to see what is invisible to the naked eye – including changes in root structure, cavities hidden under fillings, or the condition of the bone. Dental X-rays are a quick, painless, and precise diagnostic tool that increases treatment effectiveness and helps better plan the next stages of therapy.





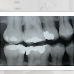
X-ray examination showing the crowns of both lower and upper teeth in the wing area. It allows for diagnosing caries in this area and assessing the tooth contact surfaces. It is used in conservative dentistry and dental prosthetics.

X-ray examination covering the area of 1-3 teeth. It shows crowns, root apices and tissues around the examined teeth.

Examination package to diagnose the area of jaw, mandible, temporomandibular joints and maxillary sinuses.

X-ray examination showing the image of the jaw, mandible, temporomandibular joints and maxillary sinuses.

A skull X-ray is used to evaluate the patient's occlusion and take the measurements necessary for selecting dental braces.
Why is X-ray diagnostics in dentistry so important?
Treating teeth without full diagnostics can be like working in the dark. X-rays allow for:
- a detailed assessment of the condition of teeth and periodontal tissues,
- detection of caries in hard-to-reach areas,
- evaluation of the effectiveness of previous root canal treatment,
- planning of extractions, orthodontic or prosthetic treatment.
X-ray images also allow for the early detection of inflammation, cysts, fractures, or abnormalities within the roots of the teeth. This makes treatment more accurate, less invasive, and more predictable.
When is it worth getting a dental X-ray?
X-ray examinations are recommended in cases of:
- long-lasting tooth or gum pain,
- planned root canal, orthodontic or implant treatment,
- the need to monitor treatment results,
- caries prevention (especially for teeth difficult to assess clinically),
- before surgical procedures, such as wisdom tooth removal.
Types of dental X-ray exams – what can you find in the offer?
At Medicover Stomatologia, various types of dental X-rays are available – depending on diagnostic needs:
- Periapical X-ray – allows for detailed imaging of a single tooth or its section. Most often used for root canal treatment or suspected cavities in hard-to-reach areas.
- Panoramic X-ray (panoramic radiograph) – an image of the entire oral cavity, covering the teeth, upper and lower jaws, and temporomandibular joints. Useful for general dental assessment and before prosthetic, surgical, or orthodontic treatment.
- Cephalometric X-ray (cephalometry) – used in orthodontics. It shows the skull profile and the position of the teeth relative to the craniofacial bone structure. One of the fundamental tests in planning malocclusion treatment.
- Bitewing X-ray – especially useful in diagnosing interproximal caries, contact surfaces, and assessing bone levels around the teeth. It allows simultaneous imaging of the crowns of upper and lower molars and premolars, which is why it is often used in conservative and prosthetic dentistry.
Do you need a referral for a dental X-ray?
Yes – a referral from a dentist is required to perform an X-ray at Medicover Stomatologia. You can obtain it during a consultation at one of the clinics or earlier, if you are already undergoing treatment. A referral is required for both formal and health-related reasons – X-ray radiation is only used when truly necessary.
What is the procedure like and do you need to prepare?
A dental X-ray is a quick, painless, and non-invasive procedure. It doesn’t require special preparation – just arrive at your appointment on time. Depending on the type of test, the patient will be asked to remove metal objects from the head area and wear a protective lead apron. The image itself takes just a few seconds.
The result is usually available immediately after the examination, allowing the doctor to quickly move on to the next steps of the treatment plan.
Why is it worth buying an X-ray exam online?
Purchasing an X-ray exam from the Medicover Stomatologia online store means:
- convenience – you can choose the location, date, and type of exam without leaving home,
- time savings – registration and payment are done online, so there's no need to wait in line,
- transparency – you know the exam price before the visit,
- full control – you have access to order details and a document confirming the purchase,
- faster action – if you already have a referral, you can immediately book and pay for your appointment.
Dental X-rays – the first step to effective treatment
A well-taken X-ray is the foundation of accurate diagnosis and dental treatment. Whether you're planning root canal therapy, getting orthodontic braces, or simply want to check the condition of your teeth – imaging diagnostics should be your starting point.
Choose the right type of exam, book your appointment online, and be confident that your treatment is built on a solid foundation.