
RTG stomatologiczne
Badania obrazowe odgrywają kluczową rolę w nowoczesnej stomatologii. Dzięki nim dentysta może zobaczyć to, co niewidoczne gołym okiem – m.in. zmiany w strukturze korzeni, ubytki ukryte pod wypełnieniami czy stan kości. RTG stomatologiczne to szybkie, bezbolesne i precyzyjne narzędzie diagnostyczne, które zwiększa skuteczność leczenia i pozwala lepiej zaplanować kolejne etapy terapii.



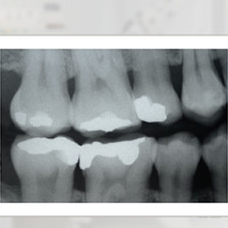
Badanie RTG obrazujące korony zarówno dolnych, jak i górnych zębów w odcinku skrzydłowym pozwala na diagnozowanie próchnicy w tym odcinku oraz ocenić powierzchnie styczne zębów. Stosowane jest w stomatologii zachowawczej oraz protetyce.

Badanie RTG obejmujące obszar 1- 3 zębów. Obrazuje korony, wierzchołki korzeni oraz tkanki wokół obrazowanych zębów.

Pakiet badań pozwalający na diagnostykę obszaru szczęki, żuchwy, stawów skroniowo- żuchwowych oraz zatok szczękowych.

Badanie RTG obrazujące obszar szczęki, żuchwy, stawów skroniowo- żuchwowych oraz zatok szczękowych.

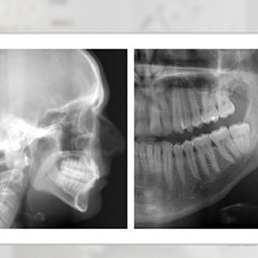
Badanie RTG czaszki pozwala ocenić zgryz Pacjenta oraz pobrać wymiary niezbędne przy wyborze aparatu ortodontycznego.
Dlaczego diagnostyka RTG w stomatologii jest tak ważna?
Leczenie zębów bez pełnej diagnostyki może być działaniem po omacku. RTG pozwala na:
- dokładną ocenę stanu zębów i tkanek przyzębia,
- wykrycie próchnicy w trudno dostępnych miejscach,
- ocenę skuteczności wcześniejszego leczenia kanałowego,
- zaplanowanie ekstrakcji, leczenia ortodontycznego lub protetycznego.
Zdjęcia rentgenowskie umożliwiają także wczesne wykrycie zmian zapalnych, torbieli, złamań czy nieprawidłowości w obrębie korzeni zębów. Dzięki temu leczenie może być dokładniejsze, mniej inwazyjne i bardziej przewidywalne.
Kiedy warto wykonać RTG zębów?
Badania RTG są zalecane m.in. w przypadku:
- długotrwałego bólu zęba lub dziąsła;
- planowanego leczenia kanałowego, ortodontycznego lub implantologicznego;
- potrzeby kontroli efektów leczenia;
- profilaktyki próchnicy (szczególnie przy zębach trudnych do oceny klinicznej);
- przed zabiegami chirurgicznymi, np. usunięciem ósemek.
Rodzaje badań RTG stomatologicznych – co znajdziesz w ofercie?
W sklepie Medicover Stomatologia dostępne są różne rodzaje badań RTG zębów – w zależności od potrzeb diagnostycznych:
- RTG punktowe zęba – pozwala na dokładne zobrazowanie jednego zęba lub jego fragmentu. Wykorzystywane najczęściej przy leczeniu kanałowym lub podejrzeniu próchnicy w trudno dostępnych miejscach.
- RTG pantomograficzne (pantomogram) – zdjęcie całej jamy ustnej, obejmujące zęby, szczękę, żuchwę i stawy skroniowo-żuchwowe. Przydatne w ogólnej ocenie stanu uzębienia, przed leczeniem protetycznym, chirurgicznym czy ortodontycznym.
- RTG cefalometryczne (cefalometria) – wykorzystywane w ortodoncji. Pokazuje profil czaszki i ustawienie zębów względem struktur kostnych twarzoczaszki. To jedno z podstawowych badań przy planowaniu leczenia wad zgryzu.
- RTG skrzydłowo-zgryzowe – szczególnie przydatne w diagnostyce próchnicy międzyzębowej, powierzchni stycznych oraz ocenie wysokości kości przyzębia. Umożliwia jednoczesne uwidocznienie koron górnych i dolnych zębów trzonowych i przedtrzonowych, dzięki czemu jest często stosowane w stomatologii zachowawczej i protetyce.
Czy na RTG stomatologiczne potrzebne jest skierowanie?
Tak – do wykonania zdjęcia RTG w Medicover Stomatologia wymagane jest skierowanie od lekarza stomatologa. Można je uzyskać podczas konsultacji w jednej z placówek lub wcześniej, jeśli jesteś już w trakcie leczenia. Skierowanie jest niezbędne ze względów formalnych i zdrowotnych – promieniowanie rentgenowskie stosuje się tylko wtedy, gdy jest to rzeczywiście potrzebne.
Jak przebiega badanie RTG i czy trzeba się do niego przygotować?
RTG zębów to procedura szybka, bezbolesna i nieinwazyjna. Nie wymaga specjalnego przygotowania – wystarczy przyjść na wizytę o wyznaczonej godzinie. W zależności od rodzaju badania, pacjent zostaje poproszony o zdjęcie metalowych przedmiotów w obrębie głowy i założenie ochronnego fartucha z ołowiem. Samo wykonanie zdjęcia trwa zaledwie kilka sekund.
Wynik badania jest zazwyczaj dostępny od razu po jego wykonaniu, co pozwala lekarzowi szybko przejść do kolejnych kroków w planie leczenia.
Dlaczego warto kupić badanie RTG online?
Zakup badania RTG w sklepie internetowym Medicover Stomatologia to:
- wygoda – możesz wybrać lokalizację, termin i rodzaj badania bez wychodzenia z domu,
- oszczędność czasu – rejestracja i płatność odbywają się online, więc nie trzeba czekać w kolejce,
- transparentność – znasz cenę badania jeszcze przed wizytą,
- pełna kontrola – masz wgląd w szczegóły zamówienia i dokument potwierdzający zakup badania,
- szybsze działanie – jeśli już masz skierowanie, możesz od razu zarezerwować i opłacić termin wykonania zdjęcia.
RTG zębów – pierwszy krok do skutecznego leczenia
Dobrze wykonane zdjęcie RTG to podstawa skutecznej diagnozy i leczenia stomatologicznego. Niezależnie od tego, czy planujesz leczenie kanałowe, zakładasz aparat ortodontyczny, czy po prostu chcesz skontrolować stan uzębienia – diagnostyka obrazowa powinna być Twoim punktem wyjścia.
Wybierz odpowiedni rodzaj badania, zarezerwuj termin online i miej pewność, że Twoje leczenie opiera się na solidnych podstawach.

